MALÁRIA
Malária
A Doença da Malária na Parasitologia

A malária é uma das principais doenças parasitárias do mundo, acometendo importante contingente de pessoas. Por seu alcance epidemiológico e pela possibilidade de desenvolvimento de quadros graves. Ela é provocada pelo protozoário do gênero Plasmodium, que acomete o ser humano através da picada do mosquito do gênero Anopheles infectado com esse parasita. A malária é uma doença que tem cura, mas pode evoluir para suas formas graves em poucos dias se não for diagnosticada e tratada rapidamente, principalmente a causada pelo P. falciparum, que deve ser sempre considerada como uma emergência médica. O Brasil é o país que concentra o maior número de casos no continente americano, estimando-se a ocorrência de mais de 300.000 casos anuais.
COMO A MALÁRIA É TRANSMITIDA?
Devemos lembrar que o barbeiro NÃO nasce com o Trypanosoma dentro dele, o barbeiro só adquire esse parasita se sugar uma pessoa ou animal contaminado. Essa é a razão pela qual encontramos na natureza muitos barbeiros não infectados. Quase sempre os barbeiros evacuam logo depois de uma refeição: acontece que é nas fezes dos barbeiros contaminados que virão os tripanossomas. Penetrando pelo próprio local da picada do barbeiro, esses tripanossomas poderão invadir a pessoa, e assim ocorrer a transmissão da Doença de Chagas.
QUAIS OS PRINCIPAIS SINTOMAS CAUSADOS PELA MALÁRIA?
A principal manifestação clínica da malária em sua fase inicial é a febre, associada ou não a calafrios, tremores, suores intensos, dor de cabeça e dores no corpo. A febre na malária corresponde ao momento em que as hemácias estão se rompendo. A pessoa que contraiu a doença pode ter também, dentre outros sintomas, vômitos, diarreia, dor abdominal, falta de apetite, tonteira e sensação de cansaço. Quando a doença está altamente avançada é possível aparecer sintomas como alteração da consciência, convulsões, hipotensão arterial e hemorragias.
Interessante: Também existe uma chance em dez de se desenvolver o que se chama de malária cerebral, responsável por cerca de 80% dos casos letais da doença
CICLO EVOLUTIVO DO PLASMODIUM NO MOSQUITO ANAPHOLES
Observe como ocorre o ciclo biológico do Plasmodium no interior do mosquito Anopheles:
1. No homem, vimos que nas hemácias os trofozoítos se transformam em esquizontes. Mas ao invés de esquizontes, podem se transformar em gametócitos.
2. Quando o mosquito pica o homem infectado com a malária, absorve junto com o sangue essas hemácias contendo os gametócitos.
3. No intestino do mosquito Anopheles, esses gametócitos rompem a membrana das hemácias, e se diferenciam em gametócito macho, e gametócito fêmea.
4. Da fecundação surge o zigoto, que originam Oocistos. Dentro do Oocistos se iniciam várias divisões celulares, formando milhares de esporozoítos.
5. Após romperem a membrana do Oocisto, migram até as glândulas salivares onde irão se alojar. Agora, este mosquito se torna um transmissor da malária. Ao picar o homem, irá desprezar estes esporozoítos em sua corrente sanguínea.
CICLO EVOLUTIVO DO PLASMODIUM NO HOMEM
A malária possui um ciclo complicado em duas partes: uma no homem, e outra no mosquito. Observem como ocorre o ciclo biológico do Plasmodium no homem:
1. A fêmea do mosquito Anapholes pica uma pessoa, injetando sua saliva com substâncias anticoagulantes, para que o sangue não coagule e o mosquito consiga sugar tranquilamente. A forma infectante do parasita, os esporozoítas, estão presentes nessa saliva e serão lançados na corrente sanguínea.
2. Na corrente sanguínea, esses esporozoítas migram para os hepatócitos (células do fígado), assim, inicia-se a infecção de malária. Dentro dos hepatócitos, os esperozoítas se multiplicam de forma assexuada em merozoítos. Estes merozoítos em alta taxa de multiplicação rompem a membrana dos hepatócitos e caem novamente na corrente sanguínea.
3. Já na circulação estes merozoítos invadem as hemácias afim de se desenvolverem em trofozoítos, que se nutrem de hemoglobina. A hemoglobina possui ferro que é um componente tóxico, por isso, ela transforma essa hemoglobina em hemozoína - dando uma cor diferenciada nas células infectadas, conhecida como pigmento malárico.
4. Estes trofozoítos bem desenvolvidos se transformam em esquizontes. O esquizonte é a forma do plasmodium em divisão celular e diferenciação, se tornarão novamente merozoítos.
5. Os novos merozoítos rompem a membrana na hemácia onde irão infectar novas hemácias, reiniciando a fase intra-eritrocítica.
EXISTE TRATAMENTO E CURA PARA MALÁRIA?
O tratamento da malária é realizado em regime ambulatorial, com medicações antimaláricas que são fornecidas gratuitamente em unidades do Sistema Único de Saúde (SUS). Somente os casos graves deverão ser hospitalizados de imediato.Vale ressaltar que quando realizado de maneira correta, o tratamento da malária garante a cura da doença, visa atingir ao parasito em pontos-chave de seu ciclo evolutivo.
MÉTODO DE DIAGNÓSTICO PADRÃO E ESPECÍFICO PARA MALÁRIA
A malária é uma doença que tem cura, mas pode evoluir para as formas graves se não for diagnosticada e tratada rapidamente, principalmente a causada pelo Plasmodium falciparum. Diagnosticar e tratar corretamente o paciente na fase inicial da doença pode fazer a diferença. Essa medida além de evitar a evolução da doença para as formas graves, também diminui a possibilidade de transmitir o Plasmodium para os Anopheles existentes na região, o que poderia desencadear a ocorrência de novos casos e até de novas áreas de transmissão. O diagnóstico da malária é feito com a ajuda do exame microscópico das amostras de sangue, executando a gota espessa ou esfregaço sanguíneo. O analista clínico deve procurar o parasita Plasmodium na forma de esquizonte ou gametócitos.
Como alternativa, pode-se fazer testes imunocromatográfico (OpitMAL - pLDH) que detecta antígenos. Para a detecção de anticorpos: ELISA ou imunofluorescência indireta.
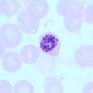
DIFERENTES FORMAS ENCONTRADAS DO PLASMODIUM

GAMETÓCITO

GAMETÓCITO

ESQUIZONTE

ESPOROZOITA
REFERÊNCIAS:
- Brasil. Ministério da Saúde. Malária: o que é, causas, sintomas, tratamento, diagnóstico e prevenção.
- Brasil. Ministério da Saúde. Secretaria de Vigilância em Saúde. Departamento de Vigilância Epidemiológica. Guia prático de tratamento da malária no Brasil. Brasília; 2010.
- Brasil. Ministério da Saúde. Secretaria de Vigilância em Saúde. Departamento de Vigilância Epidemiológica.Doenças Infecciosas e Parasitárias: guia de bolso. Brasília; 2010.

